Can I Blow My Nose After Wisdom Teeth Removal?

Can I Blow My Nose After Wisdom Teeth Removal?

Wisdom teeth removal is a common dental procedure, but the recovery process can bring up many questions, especially if you’re feeling congested or dealing with seasonal allergies. One of the most frequent concerns is whether it’s safe to blow your nose after wisdom teeth removal. The short answer? It depends on your unique case and the type of extraction performed.

Let’s examine why blowing your nose during recovery could be risky, what you should do instead, and how to protect your healing surgical site. If you’re concerned about your recovery or need personalized advice, dentist Epping is here to provide expert care and guidance tailored to your specific situation, ensuring a smoother healing process.

Why Is Blowing Your Nose After Surgery a Concern?

After wisdom tooth removal, particularly if your upper wisdom teeth were extracted, the proximity of your sinuses becomes a factor. In some cases, the roots of the upper wisdom teeth are close to, or even touching, the sinus cavities. A small communication between the sinus and the mouth, called an oroantral communication, can occur during removal.

Blowing your nose creates pressure in your nasal and sinus passages. If a connection exists between the sinus and the extraction site, this pressure could cause air to pass into the wound, potentially leading to delayed healing or complications like infection.

can i blow my nose after wisdom teeth removal afterWhen Is It Safe to Blow Your Nose?

If your oral surgeon or dentist did not mention any sinus involvement, you can blow your nose gently after a few days. However, if you were told that your sinus was exposed or the extraction was close to the sinus cavity, you should avoid nose-blowing for at least 7 to 10 days.

Even in cases without sinus involvement, forcefully blowing your nose too soon can disturb the blood clot forming in the extraction site. This clot is essential for proper healing. Dislodging it can result in a painful condition called dry socket, which is especially common after wisdom teeth removal.

Dealing With Congestion Without Blowing Your Nose

It can be frustrating to deal with nasal congestion when trying to heal from oral surgery. Here are a few gentle alternatives you can try if you’re feeling stuffy but can’t blow your nose.

Use a Saline Nasal Spray

A saline spray can help loosen mucus and relieve congestion without forceful nose-blowing. Use it as directed, and avoid sniffing too hard afterward.

Try a Humidifier

Keeping the air moist helps loosen nasal secretions. A humidifier in your room can provide gentle relief, especially during sleep.

Stay Hydrated

Drinking water helps thin mucus and allows the body to manage congestion naturally. Proper hydration also supports overall healing.

Use Gentle Tissues and Pat, Don’t Blow

If mucus drips from your nose, gently dab or blot it away with a soft tissue. Avoid any movement that requires force or pressure in your nose or sinuses.

 

 

Signs You Should Avoid Blowing Your Nose

If you’re experiencing any of the following symptoms after wisdom teeth removal, avoid blowing your nose and contact your dentist or oral surgeon:

  • A sudden rush of air or liquid between your mouth and nose
  • A whistling sound when you breathe
  • Persistent nasal bleeding
  • Swelling that worsens after nose-blowing
  • Pain or pressure in the cheek and sinus area

These signs could indicate a sinus complication that needs prompt attention.

How Long Should You Avoid Blowing Your Nose?

The general recommendation is to avoid blowing your nose for 7 to 10 days after wisdom tooth extraction, especially for upper teeth. If you’re not sure whether your sinuses were affected, it’s always best to err on the side of caution and consult your oral surgeon or dental professional.

Even if you feel back to normal after a few days, internal healing can take longer. Prematurely blowing your nose could stress the surgical site, potentially leading to pain, swelling, or delayed healing.

What Else Should You Avoid During Recovery?

To protect your healing mouth, you should avoid nose-blowing and a few other activities.

Avoid Using Straws

Sucking on a straw can dislodge the blood clot at the extraction site, similar to blowing your nose.

Avoid Smoking or Vaping

Smoking increases your risk of developing dry socket, slowing your body’s healing process.

Avoid Strenuous Activity

Heavy lifting or intense workouts can raise blood pressure and lead to bleeding or swelling around the surgical site.

Avoid Hard or Crunchy Foods

Stick to soft foods like mashed potatoes, yogurt, and soup to prevent trauma to the area where your wisdom teeth were removed.

How to Know If Something’s Wrong

While some pain, swelling, and minor bleeding are normal after wisdom teeth removal, certain signs may point to a complication. Keep an eye out for:

  • Persistent or severe pain not relieved by prescribed pain medication
  • Foul taste or bad breath that doesn’t improve
  • Ongoing bleeding past the first 48 hours
  • Fever or chills
  • White or yellow discharge from the site

Call your oral surgeon for advice and appropriate treatment if you notice any of these symptoms.

Tips for a Smooth and Safe Recovery

can i blow my nose after wisdom teeth removal procedureHere are a few additional tips to keep your healing on track:

  • Elevate your head when resting to reduce swelling
  • Use an ice pack during the first 24 hours to help control inflammation
  • Rinse your mouth gently with warm saltwater after 24 hours (but avoid vigorous swishing)
  • Attend your follow-up appointments for professional monitoring

Recovering from wisdom tooth extraction takes patience, but following these guidelines helps ensure a smoother process with fewer complications.

Final Thoughts: Listen to Your Body and Your Dentist

So, can you blow your nose after wisdom teeth removal? If your upper teeth were removed or if your oral surgeon mentioned any sinus involvement, the safest approach is to wait at least a week before blowing your nose. Even then, do it gently and only if you no longer feel pressure or pain in your sinus area.

When in doubt, don’t guess; contact your dental provider. Every person’s anatomy and healing process are different, and getting personalised advice is the best way to stay safe and comfortable during recovery.

References:

https://my.clevelandclinic.org/health/treatments/22119-wisdom-teeth-removal

https://www.healthline.com/health/wisdom-teeth-recovery

https://www.nhs.uk/tests-and-treatments/wisdom-tooth-removal/

https://www.mayoclinic.org/tests-procedures/wisdom-tooth-extraction/about/pac-20395268

Will Dry Needling of the Neck Give Me a Tooth Ache?

Will Dry Needling of the Neck Give Me a Tooth Ache?

Dry needling has become a popular method of addressing musculoskeletal pain, particularly in physical therapy settings. It involves inserting fine needles into specific points in the muscles, known as trigger points, to relieve pain and restore normal muscle function. While this treatment has shown benefits for conditions like neck pain, some patients report experiencing unexpected side effects, such as toothaches. So, will dry needling of the neck give me a tooth ache, and what exactly is behind this phenomenon?

Understanding Dry Needling and Trigger Points

herniated discs knee painDry needling is often used to target myofascial trigger points, which are tight bands or knots within a muscle. These trigger points can contribute to pain and tension, not only in the affected area but also in seemingly unrelated parts of the body—a phenomenon known as referred pain. Referred pain is common in patients with myofascial pain syndrome, where pain from trigger points in one area manifests in another region, sometimes leading to confusion about the actual source of discomfort.

Trigger point dry needling is a physical therapy technique that aims to relax these myofascial trigger points by inserting needles into them, stimulating the muscles to release tension. This can help relieve pain and restore a normal range of motion in areas affected by trigger points, including the neck.

The Relationship Between Neck Pain and Toothaches

The neck is a complex structure involving muscles, nerves, and joints that are all interconnected with other parts of the body. It’s not uncommon for pain in the neck to lead to discomfort in nearby regions, including the head and jaw. For instance, head and neck pain can sometimes extend into the jaw, and this could explain why some patients report toothaches after dry needling in the neck area.

When asking, “Will dry needling of the neck give me a toothache?” the answer is that while it is not a common side effect, it is possible due to the intricate connections within the musculoskeletal and nervous systems. In some cases, stimulating a trigger point in the neck might cause referred pain in the jaw or teeth, mimicking the sensation of a toothache.

How Referred Pain Works

To understand how dry needling might result in a toothache, it’s essential to recognize how referred pain operates. When trigger points in the neck are activated, they can send pain signals to the jaw, face, or head due to shared nerve pathways. This could create the sensation of a toothache, even though the actual source of the pain is in the neck muscles.

Patients with conditions such as myofascial pain syndrome or chronic pain conditions may be more prone to experiencing referred pain. Additionally, if you have underlying issues like herniated discs, which can lead to neck pain, the pressure on nerves could contribute to the likelihood of developing referred pain to other areas, such as the teeth or jaw.

The Role of Dry Needling in Physical Therapy

Many physical therapists use dry needling as part of comprehensive physical therapy treatments for a wide range of conditions, including neck pain, shoulder pain, and even impingement syndrome elbow pain. By targeting trigger points, they can help restore normal muscle tones and achieve pain relief in muscles that are tight or overactive. Patients suffering from rotator cuff muscle tears, carpal tunnel syndrome, and wrist pain may also benefit from this therapy.

However, it’s important to understand that dry needling isn’t a standalone treatment. It is usually combined with other physical therapy approaches, such as stretching, strengthening exercises, and manual therapy, to enhance results and reduce the risk of referred pain or other side effects.

Factors That May Contribute to Toothache-Like Sensations After Dry Needling

root problems shoulder painSeveral factors might make someone more prone to experiencing a toothache following dry needling of the neck:

  1. Sensitive Nerve Pathways: The nerves in the neck are closely linked to the nerves in the face and jaw. Stimulating a trigger point in the neck could irritate these nerves, potentially leading to pain that feels like it originates from the teeth.
  2. Previous Jaw or Dental Issues: If a patient has a history of dental problems or temporomandibular joint (TMJ) dysfunction, neck pain or treatment in the neck region could exacerbate or trigger jaw discomfort, possibly leading to a toothache. To know more about toothaches, please consult a D’vine Smiles dentist in Greensborough today.
  3. Referred Pain from Myofascial Trigger Points: Patients with myofascial pain are more likely to experience referred pain. Dry needling of trigger points in the neck could potentially activate this referred pain, manifesting as discomfort in the jaw or teeth.
  4. Involuntary Spinal Cord Reflex: During dry needling, it’s possible to stimulate reflexes that affect muscles and nerves in unexpected ways. This can sometimes lead to temporary sensations of pain in other parts of the body, including the face or jaw.

Dry Needling and Its Effectiveness in Managing Pain

Despite the possibility of referred pain, dry needling remains an effective tool for managing musculoskeletal pain. It is frequently used to treat a variety of conditions, such as:

  • Chronic pain conditions like lumbar degenerative disc disease and degenerative joint disease
  • Hip pain, knee pain, and heel pain
  • Shoulder pain caused by rotator cuff muscle tears
  • Carpal tunnel syndrome and hand and wrist pain
  • Impingement syndrome elbow pain

The goal of dry needling is to alleviate pain and discomfort by relaxing trigger points and improving the affected muscle’s range of motion. When used alongside other physical therapy techniques, patients often experience long-term improvements in their symptoms and overall mobility.

Safety and Risks

While dry needling is generally considered safe, it’s not without potential side effects. Patients may experience mild soreness at the treatment site, bruising, or, in rare cases, referred pain to areas like the jaw or teeth. However, serious complications are extremely rare when dry needling is performed by a licensed, trained professional.

To minimize risks, it’s important to work with a skilled physical therapist who can assess your individual needs and create a personalized treatment plan. This helps ensure that you receive the appropriate care for your specific condition, reducing the likelihood of unintended side effects such as referred tooth pain.

Conclusion: Will Dry Needling of the Neck Give Me a Toothache?

To answer the question, “Will dry needling of the neck give me a toothache?”—the possibility exists, but it’s not a typical side effect. The sensation of a toothache following dry needling in the neck is likely due to referred pain from trigger points, which can send pain signals to the jaw or teeth due to shared nerve pathways. While this is a rare occurrence, it can happen, particularly in individuals with myofascial pain syndrome or pre-existing dental issues.

Dry needling remains a highly effective treatment for many forms of musculoskeletal pain, including neck pain, shoulder pain, and other chronic pain conditions. By addressing trigger points and improving range of motion, patients can achieve pain relief and better manage conditions such as degenerative joint disease, herniated discs, and chronic pain. If you’re concerned about potential side effects, including toothaches, it’s best to discuss these with your physical therapist to ensure the treatment is right for you.

References

https://www.ncbi.nlm.nih.gov/pmc/articles/PMC4117383/

https://my.clevelandclinic.org/health/treatments/16542-dry-needling

https://www.mayoclinichealthsystem.org/hometown-health/speaking-of-health/on-pins-and-needles-just-what-is-dry-needling#:~:text=Dry%20needling%20is%20a%20newer,targets%20dysfunctional%20muscle%20trigger%20points.

 

How to Stop Receding Gums from Getting Worse: Effective Strategies

How to Stop Receding Gums from Getting Worse: Effective Strategies

Within the domain of oral health, one of the most pressing concerns for many individuals revolves around the gradual advancement of receding gums. This prevalent dental issue impacts the aesthetic aspect of one’s smile and poses the risk of evolving into more severe dental complications if not promptly addressed. Knowing how to stop receding gums from getting worse is essential for those grappling with this condition.

In this comprehensive article brought to you by https://puritydental.com.au/ website, we explore the root causes, preventive measures, and available treatment options for receding gums. Throughout our journey, we will unveil diverse steps and strategic approaches designed to impede the progression of this common dental problem and challenge. By doing so, we aim to provide valuable insights that contribute to maintaining healthy gums.

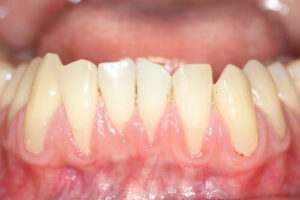
Signs and symptoms of receding gums

Receding gums can lead to severe dental problems if not addressed in time. This condition, characterised by the gum tissue gradually pulling back from the tooth, exposes more of the tooth or its root. Understanding the signs and symptoms of gum recession is crucial for early detection and intervention.

Ignoring these signs not only compromises the aesthetics of one’s smile but can also escalate into more serious conditions like periodontal disease and tooth loss. This detailed exploration will delve into the various indicators of receding gums, shedding light on what to look out for and when to first seek treatment and dental intervention.

Signs and Symptoms of Receding Gums:

  1. Visible Gum Recession: One of the most obvious signs is seeing more of the tooth than usual or appearing longer than neighbouring teeth.
  2. Tooth Sensitivity: As gums recede, they expose tooth roots not covered by enamel, leading to increased sensitivity, particularly to hot and cold stimuli.
  3. Loose Teeth: Receding gums can weaken the support for your teeth, making them feel loose.
  4. Bleeding Gums: Although more commonly associated with gum disease, receding gums may also cause bleeding, especially when brushing or flossing.
  5. Swollen or Red Gums: Inflammation and redness around the gum line can be a sign of receding gums, often indicating the presence of gum disease.
  6. Bad Breath: Receding gums create pockets between teeth and gums, trapping food particles and bacteria, leading to persistent bad breath.
  7. Exposed Tooth Roots: Visible roots of the teeth are a clear indication of advanced gum recession.
  8. Change in Gum Line: An uneven gum line or noticing that the gums are lower on some teeth compared to others can indicate receding gums.
  9. Discomfort or Pain at the Gum Line: You may feel tenderness or pain around the gums.
  10. Noticeable Pockets or Gaps: Between the teeth and gums where the gum tissue has receded.

Recognising these signs and symptoms of receding gums is crucial in preventing further oral health deterioration. Early detection allows for more conservative and effective treatment options. Regular dental check-ups, good oral hygiene, and addressing contributing factors like aggressive brushing or teeth grinding can significantly reduce the risk of gum recession. If you notice any of these symptoms, it’s important to consult with a dentist as soon as possible to explore appropriate treatment options and prevent further damage.

 

What causes receding gums

Understanding the causes of gum recession is essential in preventing and managing this condition effectively. The factors influencing the onset of receding gums encompass a spectrum, ranging from inadequate dental hygiene practices to genetic predispositions. Each of these elements contributes to the gradual erosion of bone loss of gum tissue, underlining the complexity of this dental concern. In this exploration, we will delve into the diverse causes of receding gums, emphasising the pivotal role of awareness and preventive care in sustaining gum health.

Causes of Receding Gums:

  1. Aggressive Brushing: Brushing teeth too hard or using a hard-bristled toothbrush can damage the enamel at the gum line. This aggressive brushing can lead to the recession of gums over time.
  2. Inadequate Dental Care: Insufficient brushing, flossing, and dental check-ups contribute to plaque build-up. Plaque can solidify into tartar, a hard substance that may cause gum recession.
  3. Genetic Factors: Some individuals have a genetic predisposition to gum disease. Regardless of oral care practices, genetic factors can contribute to receding gums.
  4. Hormonal Changes: Fluctuations in hormones, especially in women during puberty, pregnancy, and menopause, can make gums more sensitive. Increased sensitivity may render gums more vulnerable to recession during hormonal changes.
  5. Periodontal Diseases: Gum diseases, such as gingivitis and periodontitis, are the primary causes of receding gums. These infections destroy gum tissue and the supporting bone structure.
  6. Aggressive Brushing: Brushing teeth too hard or using a hard-bristled toothbrush can wear away the enamel at the gum line and cause the gums to recede.
  7. Inadequate Dental Care: Insufficient brushing, flossing, and dental check-ups can lead to plaque build-up, turning into tartar, a hard substance that can cause gum recession.
  8. Genetic Factors: Some people are genetically predisposed to gum disease, which can lead to receding gums regardless of how well they care for their teeth.
  9. Hormonal Changes: Fluctuations in hormones, particularly in women during puberty, pregnancy, and menopause, can make gums more sensitive and vulnerable to recession.
  10. Tobacco Products: Regular use of tobacco products can lead to a build-up of sticky plaque on the teeth, contributing to gum recession.
  11. Grinding and Clenching Teeth: These habits can put excessive force on the teeth, leading to receding gums over time.
  12. Misaligned Teeth or Incorrect Bite: Crooked teeth or a misaligned bite can place too much pressure on the gums and bones, causing gums to recede.
  13. Trauma to Gum Tissue: A direct injury to the gums can cause them to recede in the affected area.
  14. Piercings: Lip or tongue piercings can rub against the gums, causing irritation and recession.

Regular dental check-ups, proper brushing techniques, and addressing contributing factors like tobacco use or teeth grinding are key to preventing gum recession. If you notice any signs of receding gums, it’s important to seek professional dental advice to determine the cause and explore appropriate treatment options.

Can you reverse receding gums naturally?

chewing tobacco

Reversing receding gums naturally is not typically possible, especially if the condition has progressed significantly. Once the gum tissue recedes, it cannot naturally grow back to its original position.

However, natural methods can help prevent further recession and maintain the current state of your gums. These include practising good oral hygiene, using a soft-bristled toothbrush, avoiding aggressive brushing, and ensuring a diet rich in vitamins and minerals to support overall gum health.

Best treatment options for receding gums

While the natural regression of gums cannot be entirely reversed, a range of effective treatment options exist to manage the condition and impede further progression. These treatments span from non-invasive methods to surgical procedures, the choice of which depends on the severity of the gum recession. Understanding the optimal treatment options for receding gums is imperative for individuals seeking relief from symptoms and aiming to preserve their oral health.

Best Treatment Options for Receding Gums:

  • Scaling and Root Planing:
    • It involves a deep cleaning procedure to remove plaque and tartar below the gum line.
    • Smooth out roots to reattach the gums to the teeth.
  • Gum Graft Surgery:
    • Recommended for more severe cases.
    • It involves taking tissue from another part of the mouth to cover exposed roots and restore the gum line.
  • Pinhole Surgical Technique:
    • A minimally invasive option that uses a small hole in the gum tissue.
    • Special tools stretch and reposition the gum over the exposed root.
  • Regenerative Procedures:
    • It involves regrowing lost bone and tissue using materials like grafts, tissue-stimulating proteins, or membranes.
    • It aims to leverage the body’s natural ability to regenerate bone and tissue.
  • Laser Therapy:
    • Reshapes gum tissue reduces harmful bacteria, and promotes healing.
  • Lifestyle and Home Care Changes:
    • Maintaining good oral hygiene is essential.
    • Using a soft-bristled toothbrush and quitting smoking can prevent further gum recession.
  • Orthodontics:
    • It helps realign misaligned teeth, reducing stress on the gums.
  • Antimicrobial Mouthwash:
    • Controls bacteria growth causing gum disease.

Choosing the best treatment for receding gums depends on specific causes and severity. Consulting with a dental professional is crucial to determine a suitable treatment plan. While some cases may require surgical intervention, others can be effectively managed with less invasive techniques and good oral hygiene practices. Early detection and timely treatment are paramount in preventing further recession and maintaining gum health.

How to prevent gum recession and stop it from getting worse

surgical treatment dentist immediatelyGum recession can lead to serious oral health issues if not addressed. Preventing gum recession and stopping its progression is crucial in maintaining good oral health and preserving natural teeth.

While some factors contributing to gum recession, like genetics, cannot be changed, numerous practical steps can be taken to prevent this condition or halt its worsening. Understanding and implementing these preventive measures are key to safeguarding your teeth roots and gums from further recession.

How to Prevent Gum Recession and Stop It from Getting Worse:

  1. Proper Oral Hygiene: Regular and thorough brushing and flossing are crucial in removing plaque, a leading cause of gum recession.
  2. Use a Soft-Bristled Toothbrush: Avoid using hard-bristled toothbrushes or aggressive brushing techniques, as these can wear away gum tissue and enamel.
  3. Regular Dental Check-Ups: Routine dental visits allow for early detection and treatment of conditions that may contribute to gum recession.
  4. Quit Smoking: Tobacco products are detrimental to gum health and can accelerate gum recession.
  5. Manage Bruxism: Teeth grinding or clenching can put excessive force on the gums. Using a mouthguard or seeking treatment for bruxism can help reduce its impact.
  6. Balanced Diet: Eating a balanced diet rich in vitamins C and D, calcium, and omega-3 fatty acids can strengthen gum tissue and oral health.
  7. Correct Misaligned Teeth: Misaligned teeth can put extra pressure on gums and bones. Orthodontic treatment may help in evenly distributing the biting forces.
  8. Avoid Piercings in the Lip or Tongue: These can irritate and wear away gum tissue.
  9. Mindful Eating: Avoid hard or sticky foods that may injure the gum tissue or get trapped under the gum line.
  10. Stay Hydrated: Drinking plenty of water helps maintain saliva production, crucial for neutralising harmful acids and washing away food particles.

Preventing gum recession and stopping it from worsening involves good oral hygiene practices, lifestyle changes, and regular dental care. Being proactive in these areas can significantly reduce your risk of gum recession and protect your oral health. If you notice early signs of gum recession, it’s important to seek advice from a dental professional promptly, as early intervention can prevent more serious complications and gum surgery.

Conclusion

Maintaining diligent oral hygiene and seeking regular dental care are crucial steps to effectively stop or prevent receding gums from getting worse. Adopting habits like using a soft-bristled toothbrush, flossing, and visiting your dentist for routine check-ups can significantly halt the progression of gum recession. Early intervention and consistent oral care are key to preserving gum health and preventing further dental complications. Prompt action and professional advice with Dr Jack Bella Vista Dentist are essential for maintaining a healthy smile if you notice the early signs of receding gums.

References

NHS Inform: Gum Disease

https://www.nhsinform.scot/illnesses-and-conditions/mouth/gum-disease/

How to Stop Receding Gums From Getting Worse

https://www.academia.edu/38006713/How_to_Stop_Receding_Gums_From_Getting_Worse

Turning Back the Clock on Gum Disease

https://www.nidcr.nih.gov/news-events/2020/turning-back-clock-gum-disease

What You Need to Know About Gum Disease

https://www.aarp.org/health/healthy-living/info-2021/gum-disease.html

Receding Gums: Causes and Treatments

https://www.webmd.com/oral-health/receding_gums_causes-treatments

Is Periodontitis Reversible? Unmasking the Truth about Gum Disease Recovery

Is Periodontitis Reversible? Unmasking the Truth about Gum Disease Recovery

Periodontal disease, more commonly known as gum disease, is a silent enemy many people grapple with daily. Its stealthy advance often leads to severe oral health consequences, ultimately raising the question – is periodontitis reversible? It’s a vital question to answer as it could redefine how we approach oral hygiene, dental treatments, and overall healthcare strategies. In this comprehensive exploration, we will peel the layers of periodontal disease, digging deep into the world of dentistry to uncover the reality of periodontitis recovery, what makes gum disease reversible, and whether it’s achievable. Join us as we demystify this dental dilemma and shed light on gum disease reversibility.

Periodontitis: The Silent Threat to Oral Health

Periodontitis is a severe gum infection that damages the soft tissue and, without intervention, can destroy the bone that supports your teeth. It is an advanced stage of gum disease that begins with bacterial growth in your mouth and might end if not properly treated, with tooth loss due to the destruction of the tissue surrounding your teeth.

 

 

Gingivitis to Periodontitis?

In the early stage of gum disease, known as gingivitis, the gums become red, swollen, and prone to bleeding. It’s primarily due to inadequate oral hygiene. Gingivitis can be reversed with good oral health habits, such as brushing twice a day, flossing daily, and getting regular dental checkups.

However, if gingivitis is not treated, it can progress to periodontitis. In periodontitis, gums pull away from the teeth and form spaces called pockets that become infected. The body’s immune system fights the bacteria as the plaque spreads and grows below the gum line. The bacteria and the body’s response to infection start to break down the bone and connective tissue that hold teeth in place.

is periodontitis reversible signsThe primary difference between periodontitis and other oral diseases lies in its severity, the areas it affects, and its potential consequences. While conditions like cavities or tooth decay primarily affect the teeth, periodontitis is a disease of the gums and the supporting structures of the teeth. Furthermore, untreated periodontitis has been linked with more serious health conditions such as diabetes and heart disease.

The Impact of Periodontitis on Overall Health

Periodontitis isn’t just detrimental to your oral health. Over time, it can also have severe repercussions on your overall health. The bacteria causing periodontitis can enter the bloodstream through the gum tissue, potentially affecting other body parts. Here are some ways periodontitis can impact overall health:

  1. Heart Disease: Research suggests that periodontitis increases the risk of heart disease. The theory is that inflammation in the mouth causes inflammation in the blood vessels, increasing the risk of heart disease. The inflamed blood vessels restrict blood flow between the heart and the rest of the body, raising blood pressure.
  2. Diabetes: There is a strong link between periodontitis and diabetes. Not only are people with diabetes more susceptible to periodontitis, but severe periodontitis can increase blood sugar, which makes diabetes more difficult to control. This potentially creates a vicious cycle where one condition exacerbates the other.
  3. Respiratory Conditions: Those with periodontal disease might be more at risk of respiratory diseases like pneumonia, as the bacteria in the mouth can be inhaled into the lungs.
  4. Pregnancy Complications: Periodontitis in pregnant women has been linked to premature births and low birth weight.
  5. Alzheimer’s Disease and Dementia: Some studies suggest that long-term periodontitis could lead to a higher chance of developing Alzheimer’s disease and other types of dementia.
  6. Rheumatoid Arthritis: There seems to be a strong connection between rheumatoid arthritis (RA) and periodontitis, with RA sufferers more likely to also suffer from periodontitis.

It’s crucial to note that while these links exist, more research is needed to fully understand the extent and mechanisms of these connections. Nevertheless, maintaining good oral hygiene and regularly checking for signs of periodontal disease is important to preserving overall health.

Treatment Options for Periodontitis

The main goal of any treatment for periodontitis is to control the infection. The types and number of treatments will vary, depending on the extent of the gum disease. Any type of treatment requires that the patient keep up with good daily care at home. Here are some common treatment options:

  1. is periodontitis reversible with treatmentDeep Cleaning (Scaling and Root Planing): This non-surgical procedure involves scaling and root planing. Scaling means scraping off the tartar from above and below the gum line. Root planing removes rough spots on the tooth root where the germs gather, helping remove bacteria that contribute to the disease.
  2. Medications: In some cases, medications may be used with treatments that include scaling and root planing, but they cannot always replace surgery. Depending on the severity of gum disease, the dentist or periodontist may suggest one or more of these medications: antimicrobial mouthwash, antibiotic gels, oral antibiotics, or enzyme suppressants.
  3. Surgical Treatments:
  • Flap Surgery (Pocket Reduction Surgery): In this procedure, the gums are lifted back, and the tartar is removed. The gums are then sutured back in place so they fit closely to the tooth. After surgery, the gums will heal and fit more tightly around the tooth. This sometimes results in the teeth appearing longer.
  • Bone Grafts: This procedure involves using fragments of your own bone, synthetic bone, or donated bone to replace bone destroyed by periodontitis. The grafts serve as a platform for bone regrowth, which restores teeth stability.
  • Soft Tissue Grafts: This procedure reinforces thin gums or fills in places where gums have receded.
  • Guided Tissue Regeneration: This allows the regrowth of bone destroyed by bacteria. In one approach, a small piece of mesh-like fabric is inserted between the bone and gum tissue, keeping the gum tissue from growing into the area where the bone should be and allowing the bone and connective tissue to regrow.

It’s important to remember that treatments may need to be repeated or adjusted over time, depending on the progression of the periodontitis. Regular dental checkups are crucial to detecting any changes in oral health early. Always discuss your treatment options with your dental health professional to determine the best course of action for your needs.

Is Periodontitis Reversible? Unearthing the Facts

Periodontitis is a progressive disease that, if not addressed in its early stages, can lead to irreversible damage to the gums and supporting bone structure of the teeth, potentially resulting in tooth loss. Can you reverse gum disease? The truth is, once gum tissue and bone are destroyed, they cannot regenerate completely on their own.

However, the progress of periodontitis can be halted with effective treatment, and some level of healing can occur. So, while periodontitis is not fully reversible, once significant tissue and bone loss have occurred, its progress can be stopped, and some degree of healing can occur with appropriate treatment and care. This makes early detection and intervention crucial in managing the disease. Regular dental visits for checkups and cleanings are essential in catching signs of periodontal disease early and managing its effects.

Preventive Measures and Maintenance: Your Best Defense

Reversing gum disease should not be the last resort. Preventing periodontitis starts with understanding that excellent oral hygiene is your first line of defence against this gum disease. Here are some key preventive measures and maintenance tips to ensure healthier gums and teeth:

  1. Brush Regularly: Brush your teeth at least twice daily using fluoride toothpaste. This helps to remove the plaque that can harden and lead to gum disease. Choose a soft bristle toothbrush and replace it every three to four months.
  2. Floss Daily: Flossing daily removes food particles and plaque that your toothbrush can’t reach. If you find traditional floss hard to use, you can try interdental cleaners, such as special picks, brushes, or sticks designed to clean between the teeth.
  3. Use a Mouthwash: Therapeutic mouthwash can reduce plaque and remove remaining food particles missed by brushing and flossing.
  4. is periodontitis reversible symptomsRegular Dental Checkups and Cleanings: Visit your dentist or dental hygienist regularly for checkups and professional cleanings. During these visits, they can detect early signs of gum disease and can help you get on top of it before it becomes a major issue.
  5. Quit Smoking: Smoking is strongly associated with the onset of gum disease. Smoking weakens your immune system, making it harder to fight off a gum infection and making it more difficult for your gums to heal once they’ve been damaged.
  6. Healthy Diet: Eat a balanced diet that provides essential nutrients to your body. Vitamin C, for instance, is known to promote gum health.
  7. Manage Your Health Conditions: Certain health conditions like diabetes and HIV/AIDS can increase the risk of periodontitis. Make sure to manage these conditions with your doctor’s help.

Maintaining a strong oral hygiene routine, making healthy lifestyle choices, and getting regular dental checkups can greatly reduce your chances of developing periodontitis and ensure the health of your teeth and gums. Remember, prevention is always better than cure, especially when it comes to your oral health.

References:

https://www.nidcr.nih.gov/health-info/gum-disease

https://www.parodontax.com/gum-health/all-about-gums/how-common-is-gingivitis/

https://www.mayoclinic.org/diseases-conditions/periodontitis/symptoms-causes/syc-20354473

https://www.corsodyl.co.uk/advice/can-receding-gums-grow-back/

https://my.clevelandclinic.org/health/diseases/21482-gum-periodontal-disease

https://www.garlanddavisdds.com/reverse-periodontitis

What Are Dental Veneers For Teeth Whitening?

What Are Dental Veneers For Teeth Whitening?

A natural shine of pearly set of teeth can attract people in starting conversations or even just knowing your oral health is in its best condition. Yet, many people neglect the importance of having a regular dental check-up. A yellowish or discolored tooth may indicate bacteria, sticky stains, or even diseases in your gums. Several clinics may help you with answers on what are dental veneers, dental implants, laser teeth whitening and other restorative dentistry procedures for whiter teeth. You can also check out the new site of Bondi Beach Dental practice that offers services for both the esthetic and pain-free treatments for your oral health care

 

What Are Dental Veneers?

Veneers are thin coverings that are attached in front of the teeth to make them whiter. Some veneer shades may depend on the dental specialist that knows the natural color of your teeth. They are usually made of porcelain or composite resin materials that are easy to manufacture and produce after your succeeding consultations. People may have the option when asking, “what are dental veneers?” But, it may be best to start whitening your teeth by cleaning or doing dental hygiene routines at home. A stained tooth or off-colored tooth can’t rely on veneers to cover the surface of teeth infected with dental diseases. 

 

 

Advantages Of Dental Veneers For A Better Smile

Do you know what are dental veneers and how they differ with other cosmetic dentistry solutions? If you want to skip crowns in a dental implant, you may find this custom porcelain or composite material the perfect fix. As with any teeth solution, some pros and cons may hinder the patient to improve their treatment. Yet, it is best to discover the cost of health care with veneers as early as possible. 

 

It Is A Noninvasive Procedure

One of the reasons why patients may opt for dental veneers is the fact that it is only an attachment or covering for every tooth. It doesn’t involve deep scaling, tooth extraction, and other surgical operations that a surgeon or doctor of dental medicine will do. Furthermore, there may be fewer chances to use local anesthesia, as veneers are placed with dental cement. You’ll be sure to get the results in less than two hours in a dental clinic.

 

Less Irritation In The Gums

What Are Dental Veneers Used For

The thin shells in the veneers do not irritate the gums as the materials are less susceptible to allergy problems. Moreover, the thin porcelain veneers bonded on the teeth fit perfectly with its shape that doesn’t conflict with the gum line. You may have fewer side – effects from the types of designed veneers from your local dentist.

 

Requires Less Enamel Removal

A chipped or cracked tooth is already dangerous for a person’s dental health because it can lead to severe bacterial infections. However, the procedure to treat these cracks is either to fill the crack with filling or bonding materials or ultimately remove the tooth. The option of having even thinner covers are custom thin shells like Lumineers. There are many options today to choose from. So, it may be best to consult your certified dentist in Cherrybrook to improve your chipped teeth.

 

May Be Cheaper Than Other Restoration Procedures

Since the materials of veneer are only plastic or resin, it is relatively cheaper than most cosmetic or dental treatments. The cost of veneers on average is $800 to $4000 per tooth. But, it is a good investment that will last for ten to fifteen years. On the other hand, health insurance companies may not have coverage for veneers. Reason being, esthetic and cosmetic procedures like laser teeth whitening or veneers do not involve medical treatment or surgery. You may have to prepare your wallet for out-of-pocket money for the front teeth that need a better appearance. 

 

Are Veneers The Only Option To Whiten Teeth?

People may think that the thin shells of veneers are the best option out there for restorative dentistry. It is not a must to know what are dental veneers at a clinic for your oral healthcare. You may find these treatments suitable after a dentist finishes your assessment via an X-ray examination. If you aren’t sure how you will pay for these treatments, your health insurance company can assist you with the details. 

 

Laser Teeth Whitening

Nowadays, people often choose to get laser technology for any medical or dental procedure. Laser teeth whitening treatment is less invasive and only uses specific radiowaves even for your thin teeth.

 

Traditional Bleaching

What Are Dental Veneers

Bleaching agents were one of the earliest forms of whitening when there were no materials like porcelain thin veneers or Lumineers for the front teeth. Bleaching uses agents that can be abrasive on the enamel and are considered risky in earlier times. Today, there are best practices to do to prevent malpractice in cosmetic dentistry. Also, traditional bleaching can be applied to anyone and costs less than the modern techniques available today. 

 

Treating Your Dental Disease

If you’re still not seeing results of a better smile despite paying for different sums of money, it’s time to dig into the problem. On that account, dental clinics may or may not see the underlying medical or dental condition that your teeth and gums are experiencing. Symptoms of a dental disease start with toothaches, gum bleeding or swelling. You can visit Radiant Smiles Dental Group in Bundoora if you’re experiencing any of these issues.

Can laser teeth whitening price be covered by insurance?

Can laser teeth whitening price be covered by insurance?

With all the price hikes we are experiencing everywhere we go, insurance companies are taking this as an advantage on their end. Come to think of it, their services will definitely come in handy if you are unforeseen expenses that are not part of your budget. Their services will certainly make paying for your needed commodities, either in the form of products of treatments, manageable and hassle-free. But in cases of cosmetic procedure costs like laser teeth whitening price, can this be covered by insurance?

Laser teeth whitening price: How much is it really?

laser teeth whitening priceLaser teeth whitening is a cosmetic dental procedure that instantly whitens the teeth using a safe but effective laser light system. Its main goal is to easily whiten teeth without using tacky whitening trays, pen, and strips. It is so effective that both celebrities and ordinary people here in Australia whose need for a pearly white smile is of the essence can attest to its efficiency and safety. However, with great effectiveness comes a heavier cost. In Australia, you can expect a price tag of $800 to $1000 per session. So once you attained the perfect radiant smile, you should think about ways on how to maintain them because their cost is not a laughing matter.

Laser teeth whitening: Can my insurance cover it?

Unfortunately, since the nature of laser teeth whitening is purely for cosmetic purposes, it cannot be covered by dental insurance. Insurance policies typically cover necessary dental procedures or services and treatments that are connected to a medical condition. So if you are really decided to whiten your teeth, you need to save up because you are more likely to pay for it at your own expense.

However, there is no harm in double-checking with your insurance provider about the coverage of your insurance policy. Moreover, you can also consult your dentist if he can also offer you payment plans or schemes to help make your laser teeth whitening price easier on the budget.

Pin It on Pinterest