Is Periodontitis Reversible? Unmasking the Truth about Gum Disease Recovery
Periodontal disease, more commonly known as gum disease, is a silent enemy many people grapple with daily. Its stealthy advance often leads to severe oral health consequences, ultimately raising the question – is periodontitis reversible? It’s a vital question to answer as it could redefine how we approach oral hygiene, dental treatments, and overall healthcare strategies. In this comprehensive exploration, we will peel the layers of periodontal disease, digging deep into the world of dentistry to uncover the reality of periodontitis recovery, what makes gum disease reversible, and whether it’s achievable. Join us as we demystify this dental dilemma and shed light on gum disease reversibility.
Periodontitis: The Silent Threat to Oral Health
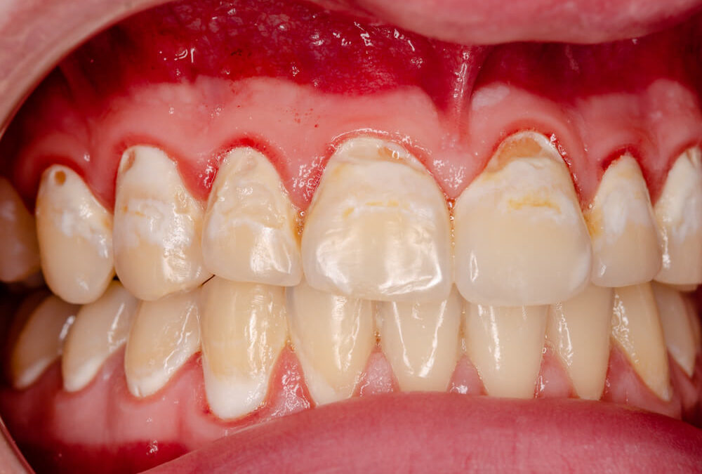
Periodontitis is a severe gum infection that damages the soft tissue and, without intervention, can destroy the bone that supports your teeth. It is an advanced stage of gum disease that begins with bacterial growth in your mouth and might end if not properly treated, with tooth loss due to the destruction of the tissue surrounding your teeth.
Gingivitis to Periodontitis?
In the early stage of gum disease, known as gingivitis, the gums become red, swollen, and prone to bleeding. It’s primarily due to inadequate oral hygiene. Gingivitis can be reversed with good oral health habits, such as brushing twice a day, flossing daily, and getting regular dental checkups.
However, if gingivitis is not treated, it can progress to periodontitis. In periodontitis, gums pull away from the teeth and form spaces called pockets that become infected. The body’s immune system fights the bacteria as the plaque spreads and grows below the gum line. The bacteria and the body’s response to infection start to break down the bone and connective tissue that hold teeth in place.
The primary difference between periodontitis and other oral diseases lies in its severity, the areas it affects, and its potential consequences. While conditions like cavities or tooth decay primarily affect the teeth, periodontitis is a disease of the gums and the supporting structures of the teeth. Furthermore, untreated periodontitis has been linked with more serious health conditions such as diabetes and heart disease.
The Impact of Periodontitis on Overall Health
Periodontitis isn’t just detrimental to your oral health. Over time, it can also have severe repercussions on your overall health. The bacteria causing periodontitis can enter the bloodstream through the gum tissue, potentially affecting other body parts. Here are some ways periodontitis can impact overall health:
- Heart Disease: Research suggests that periodontitis increases the risk of heart disease. The theory is that inflammation in the mouth causes inflammation in the blood vessels, increasing the risk of heart disease. The inflamed blood vessels restrict blood flow between the heart and the rest of the body, raising blood pressure.
- Diabetes: There is a strong link between periodontitis and diabetes. Not only are people with diabetes more susceptible to periodontitis, but severe periodontitis can increase blood sugar, which makes diabetes more difficult to control. This potentially creates a vicious cycle where one condition exacerbates the other.
- Respiratory Conditions: Those with periodontal disease might be more at risk of respiratory diseases like pneumonia, as the bacteria in the mouth can be inhaled into the lungs.
- Pregnancy Complications: Periodontitis in pregnant women has been linked to premature births and low birth weight.
- Alzheimer’s Disease and Dementia: Some studies suggest that long-term periodontitis could lead to a higher chance of developing Alzheimer’s disease and other types of dementia.
- Rheumatoid Arthritis: There seems to be a strong connection between rheumatoid arthritis (RA) and periodontitis, with RA sufferers more likely to also suffer from periodontitis.
It’s crucial to note that while these links exist, more research is needed to fully understand the extent and mechanisms of these connections. Nevertheless, maintaining good oral hygiene and regularly checking for signs of periodontal disease is important to preserving overall health.
Treatment Options for Periodontitis
The main goal of any treatment for periodontitis is to control the infection. The types and number of treatments will vary, depending on the extent of the gum disease. Any type of treatment requires that the patient keep up with good daily care at home. Here are some common treatment options:
Deep Cleaning (Scaling and Root Planing): This non-surgical procedure involves scaling and root planing. Scaling means scraping off the tartar from above and below the gum line. Root planing removes rough spots on the tooth root where the germs gather, helping remove bacteria that contribute to the disease.- Medications: In some cases, medications may be used with treatments that include scaling and root planing, but they cannot always replace surgery. Depending on the severity of gum disease, the dentist or periodontist may suggest one or more of these medications: antimicrobial mouthwash, antibiotic gels, oral antibiotics, or enzyme suppressants.
- Surgical Treatments:
- Flap Surgery (Pocket Reduction Surgery): In this procedure, the gums are lifted back, and the tartar is removed. The gums are then sutured back in place so they fit closely to the tooth. After surgery, the gums will heal and fit more tightly around the tooth. This sometimes results in the teeth appearing longer.
- Bone Grafts: This procedure involves using fragments of your own bone, synthetic bone, or donated bone to replace bone destroyed by periodontitis. The grafts serve as a platform for bone regrowth, which restores teeth stability.
- Soft Tissue Grafts: This procedure reinforces thin gums or fills in places where gums have receded.
- Guided Tissue Regeneration: This allows the regrowth of bone destroyed by bacteria. In one approach, a small piece of mesh-like fabric is inserted between the bone and gum tissue, keeping the gum tissue from growing into the area where the bone should be and allowing the bone and connective tissue to regrow.
It’s important to remember that treatments may need to be repeated or adjusted over time, depending on the progression of the periodontitis. Regular dental checkups are crucial to detecting any changes in oral health early. Always discuss your treatment options with your dental health professional to determine the best course of action for your needs.
Is Periodontitis Reversible? Unearthing the Facts
Periodontitis is a progressive disease that, if not addressed in its early stages, can lead to irreversible damage to the gums and supporting bone structure of the teeth, potentially resulting in tooth loss. Can you reverse gum disease? The truth is, once gum tissue and bone are destroyed, they cannot regenerate completely on their own.
However, the progress of periodontitis can be halted with effective treatment, and some level of healing can occur. So, while periodontitis is not fully reversible, once significant tissue and bone loss have occurred, its progress can be stopped, and some degree of healing can occur with appropriate treatment and care. This makes early detection and intervention crucial in managing the disease. Regular dental visits for checkups and cleanings are essential in catching signs of periodontal disease early and managing its effects.
Preventive Measures and Maintenance: Your Best Defense
Reversing gum disease should not be the last resort. Preventing periodontitis starts with understanding that excellent oral hygiene is your first line of defence against this gum disease. Here are some key preventive measures and maintenance tips to ensure healthier gums and teeth:
- Brush Regularly: Brush your teeth at least twice daily using fluoride toothpaste. This helps to remove the plaque that can harden and lead to gum disease. Choose a soft bristle toothbrush and replace it every three to four months.
- Floss Daily: Flossing daily removes food particles and plaque that your toothbrush can’t reach. If you find traditional floss hard to use, you can try interdental cleaners, such as special picks, brushes, or sticks designed to clean between the teeth.
- Use a Mouthwash: Therapeutic mouthwash can reduce plaque and remove remaining food particles missed by brushing and flossing.
Regular Dental Checkups and Cleanings: Visit your dentist or dental hygienist regularly for checkups and professional cleanings. During these visits, they can detect early signs of gum disease and can help you get on top of it before it becomes a major issue.- Quit Smoking: Smoking is strongly associated with the onset of gum disease. Smoking weakens your immune system, making it harder to fight off a gum infection and making it more difficult for your gums to heal once they’ve been damaged.
- Healthy Diet: Eat a balanced diet that provides essential nutrients to your body. Vitamin C, for instance, is known to promote gum health.
- Manage Your Health Conditions: Certain health conditions like diabetes and HIV/AIDS can increase the risk of periodontitis. Make sure to manage these conditions with your doctor’s help.
Maintaining a strong oral hygiene routine, making healthy lifestyle choices, and getting regular dental checkups can greatly reduce your chances of developing periodontitis and ensure the health of your teeth and gums. Remember, prevention is always better than cure, especially when it comes to your oral health.
References:
https://www.nidcr.nih.gov/health-info/gum-disease
https://www.parodontax.com/gum-health/all-about-gums/how-common-is-gingivitis/
https://www.mayoclinic.org/diseases-conditions/periodontitis/symptoms-causes/syc-20354473
https://www.corsodyl.co.uk/advice/can-receding-gums-grow-back/
https://my.clevelandclinic.org/health/diseases/21482-gum-periodontal-disease





